by odontogeriatra@clinicadentalgazel.com | Oct 2, 2010 | Articles
Dental Care in Preoperative elderly patients with cancer of mouse. ABSTRACT The increase in life expectancy as a result has brought an increase in the number of people aged over 60 years, with those above this age have a higher risk for developing cancer. The oral...
by odontogeriatra@clinicadentalgazel.com | Oct 2, 2010 | Articles
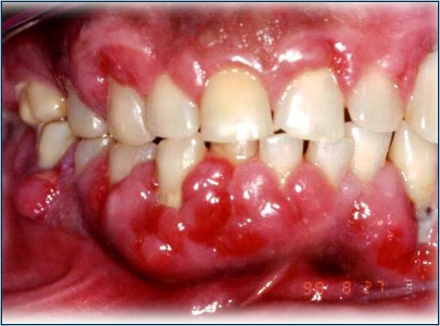
APPROACH TO THE DENTAL PATIENT AGED DIABETIC Universidad Federal, Curitiba, Paraná. Ana Karina Marcondes Jéssica Gazel Carolina Covolan Malburg Luciane Priscila Karsten Advisor: Therezinha Pastre Aging: With the aging population have an increased prevalence of chronic...